Braces are the awkward teenage rite of passage that most teenagers have to endure. Though painful and awkward, the braces are a necessary evil that improve the quality of smile and strengthens the teeth, which otherwise would have remained crooked.
Putting and tightening braces is a highly scheduled work and most of us only see them after they have been put on the teeth and after they have finished their work on the teeth, giving teenagers and youth that celebrity like smile instead of a crooked smile.
Here we have a time lapse video which shows how braces do their magic on the teeth of an 11 year old girl. The video is on the last page for you to watch, in awe.
1 What are braces?
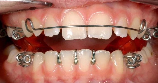
By definition, braces or dental braces are devices used in orthodontics that align and straighten teeth and help to position them with regard to a person's bite, while also working to improve dental health.
Most of the times, they are used to set the crooked teeth straight among teenagers, but apart from that, braces are often used to correct overbite, under bite, open and deep bites. And though you might think braces are a modern invention, but actually braces and similar devices have been dated back to ancient roman times.
Aristotle and Hippocrates thought of ways to straighten crooked teeth way back in 400-300 BC and braces, though of different material was a possibility. Archaeologists have found mummies with metal bands tied around their teeth and catgut made from animal intestines was used to tie teeth to straighten them.

Image Source: www.beritasatu.com
2 Why are they needed?
The modern orthodontist techniques were invented by French dentist Pierre Fauchard in 1728. He had about mentioned a device known as Bandeau, a horseshoe shaped piece of iron which was used to expand the arch and align the teeth.
Braces are generally required to correct crooked teeth in teenagers, as that is the correct time, since their adult teeth continue to grow in this time period. Braces can also be used to treat overcrowded, overlapping teeth, or teeth having a bad bite.
Another condition that can be cured by braces is Malocclusion, a condition where the sizes of bottom and upper jaws are different. If the upper jaw is bigger, it is called an over bite and if the lower jaw is bigger, it is called an underbite.

Image Source: www1.mylifemysmile.org