6Grinding Of The Teeth
Advertisement
Grinding of the teeth can be bad for your oral health. This condition is known as Bruxism and is common in adults and children. Misaligned teeth and stress are two possible causes that can lead to this condition.

Image Source: www.andersondentistry.com
7Toothaches
Advertisement
This condition is the precursor for all dental issues. Pain can be caused due to cavities, accidents, injuries, impacted wisdom tooth etc. Proper oral hygiene is necessary to avoid toothache.

Image Source: www.smilecolumbia.com
8Unattractive Smile
Advertisement
Due to misaligned teeth, one may sport an unattractive smile which can lower the self confidence. There are orthodontic treatments available to correct the position of the teeth.

Image Source: www.deardoctor.com
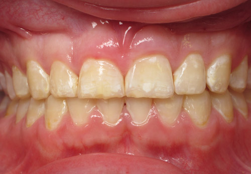
9Discolouration of Teeth or Yellow Teeth
Advertisement
This condition is usually caused by consuming certain beverages like red wine, tea, and coffee. However, ill maintenance by improper brushing can also cause discoloration. Some people are naturally predisposed to this. Your teeth are crucial. Do not ignore them. If you care for them properly, they will serve you longer.

Image Source: www.healthydefinition.com