6It’s a moisturizer
Advertisement
Yes, it’s natural and it’s very easily available and that’s why it’s the most economical skin care product you can opt for. The most important quality of aloe vera is its hydrating properties and that’s why you should try using aloe vera gel or aloe-vera based moisturizer on your skin. In summer especially aloe vera is a lifesaver.

Image Source: youtube.com
7What the doctor says
Advertisement
Wendy Bazilian, the author of The SuperFoodsRx Diet says If people have dry skin or other skin-related issues they have to opt for elements which are anti-inflammatory, both for consumption and external application. And aloe vera is the perfect product.

Image Source: pinterest.com
8For daily pollution
Advertisement
Your skin gets the most polluted on a daily basis through environmental pollution, dirty air, grease and other surface dirt. Aloe vera is the best cleanser which is why you must apply it on your face after you come back home after work everyday.

Image Source: .pinterest.com
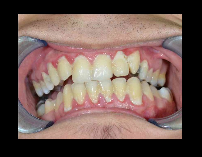
9The oral health buddy
Advertisement
Aloe vera also takes care of your oral health. It helps to deal with dental plaques. Researchers have claimed after a number of studies that aloe vera is just as competent as your go-to mouthwash in combating oral diseases.

Image Source: providr.com
10Treat ulcers with aloe vera
Advertisement
Aloe vera is also very useful in treating canker sores. It is universally known that sores or small ulcers are utterly painful and are often a pretty big hassle which even stops people from going to work. Aloe vera can actually help you to deal with these sores, especially if there’s one at a sensitive area where you don’t want to apply strong ointments.

Image Source: tooth.trybos.site